Artigos

Dente impactado: Causas, sintomas e tratamento

20 de abril de 2026 · 8 min de leitura ·

Alguns pacientes chegam ao consultório com dente impactado, que é quando o dente não consegue sair completamente da gengiva, a maioria deles adolescentes e adultos.

Existem vários fatores que podem levar a essa situação, sendo importante consultar um dentista especializado o quanto antes para o diagnóstico correto e iniciar o tratamento, o qual pode variar dependendo da gravidade do problema. 

Em alguns casos, o dentista pode simplesmente monitorar o dente e esperar que ele saia naturalmente, já em outros, pode ser necessário extrair o dente ou realizar uma cirurgia para ajudá-lo a sair. 

Para esclarecer todas as suas dúvidas, desde entender o que é dente impactado até conhecer quais os tratamentos, preparei esse material com tudo que você precisa saber.

Boa leitura!

O que é dente impactado

Um dente impactado é aquele que não consegue romper completamente a gengiva e se posicionar corretamente na boca, e geralmente ocorre quando não há espaço suficiente na boca para o dente em questão ou quando o dente não cresce na posição correta. 

Na maioria dos casos, os dentes impactados são os molares do siso, mas outros dentes também podem ser afetados.

Os dentes impactados podem causar dor, inchaço e infecção, bem como levar a problemas de alinhamento dos dentes e da mandíbula. 

Quando não tratados, podem ocasionar cáries, doenças gengivais e até mesmo à perda de outros dentes.

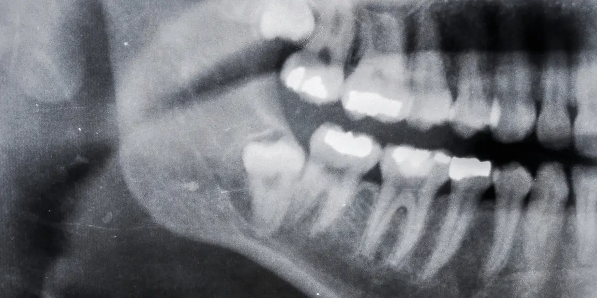
O diagnóstico é feito por um dentista, que pode fazer um exame clínico e radiográfico para determinar a posição do dente. 

O tratamento pode envolver a extração do dente em si ou a remoção cirúrgica da gengiva para permitir que o dente se posicione corretamente. 

Em alguns casos, um aparelho ortodôntico pode ser usado para ajudar a mover o dente para a posição correta.

Causas de dente impactado

Como dito acima, essa é uma situação que ocorre quando um dente não consegue erupcionar completamente na boca. Esse problema pode ser causado por vários fatores, tais como:

  • Tamanho inadequado da mandíbula ou maxila: se a mandíbula ou maxila não tiver espaço suficiente para acomodar todos os dentes, alguns dentes podem ficar presos;
  • Dentes extras: a presença de dentes extras pode impedir que outros dentes erupcionem normalmente;
  • Posição anormal do dente: se um dente estiver inclinado ou girado, pode encontrar dificuldades para sair;
  • Obstruções: se houver obstruções na boca, como um cisto ou tumor, o dente pode não conseguir irromper;
  • Trauma: o trauma na área da boca pode causar danos aos dentes em desenvolvimento.

Sintomas de dente impactado

Quando um dente impactado ocorre, pode haver uma série de sinais e sintomas que indicam a sua presença. Confira abaixo os sintomas mais comuns:

  • Dor: A dor é um dos sintomas mais comuns, que pode ser leve ou intensa, dependendo do grau de impacto do dente;
  • Inchaço: O inchaço é outro sinal frequente, que pode ocorrer na área afetada ou em torno dela;
  • Sensibilidade: Você pode sentir dor ou desconforto ao comer, beber ou tocar na área afetada;
  • Mau hálito: O mau hálito também é um sintoma, decorrente do acúmulo de restos de comida e bactérias ao redor do dente;
  • Dificuldade para abrir a boca: Se o dente afetado estiver localizado na mandíbula, você pode ter dificuldade para abrir a boca completamente.

Se você estiver experimentando algum desses sintomas, é importante consultar um dentista o mais rápido possível, pois se o dente em questão não for tratado corretamente, pode levar a complicações graves.

Diagnóstico

Para diagnosticar um dente abalado, o dentista irá realizar um exame clínico completo, avaliar os sintomas e pode solicitar exames de imagem, como radiografias ou tomografias, a fim de obter uma visão mais clara da posição do dente.

As radiografias podem mostrar a localização exata do dente afetado e se há algum dano aos dentes adjacentes. 

Já as tomografias podem fornecer uma imagem 3D da área afetada, permitindo que o dentista visualize o dente em questão sob diferentes ângulos.

Durante o exame clínico, o dentista irá verificar se há algum dente que não tenha erupcionado ou que esteja parcialmente erupcionado.

O dentista também pode usar instrumentos especiais para verificar a posição do dente e determinar se é necessário realizar uma extração.

Em alguns casos, o dentista pode recomendar uma biópsia para descartar outras condições que possam estar causando os sintomas. 

A biópsia envolve a remoção de uma pequena amostra de tecido da área afetada para análise em laboratório.

Tratamento para dente impactado

Se você tem um dente impactado, é importante procurar tratamento para evitar problemas dentários futuros, que geralmente envolve extração cirúrgica ou ortodontia.

Veja a seguir as características de cada um deles:

Extração cirúrgica

A extração cirúrgica é o procedimento mais comum para tratar um dente impactado. 

Durante a cirurgia, o dentista fará uma pequena incisão na gengiva para acessar o dente afetado, e em seguida, será cuidadosamente removido. 

Após a cirurgia, você pode precisar de alguns dias de repouso para se recuperar.

Ortodontia

A ortodontia é outra opção de tratamento. Se o dente em questão estiver próximo da superfície, o dentista pode usar aparelhos ortodônticos para ajudar a movê-lo para a posição correta. 

Este processo pode levar vários meses ou até anos, dependendo da gravidade do caso.

Complicações possíveis

Se você tem um dente impactado, é importante estar ciente das possíveis complicações que podem surgir. Confira algumas das complicações mais comuns:

Infecção

Quando um dente está afetado, pode levar a uma infecção, causando dor e inchaço. A infecção pode se espalhar para outras partes do corpo se não for tratada adequadamente. 

Por isso, é importante procurar um dentista se você suspeitar de uma infecção.

Danos aos dentes adjacentes

Danos aos dentes adjacentes é outro problema, que ocorre quando o dente empurra contra os outros dentes, danificando o esmalte ou até mesmo ocasionando a quebra do dente. 

Se isso acontecer, é importante procurar um dentista imediatamente.

Cistos e tumores

Outra complicação é o desenvolvimento de cistos ou tumores, que é quando o dente abalado empurra contra o tecido gengival, causando a formação de um saco cheio de líquido ou um crescimento anormal de tecido. 

Portanto, se você notar qualquer inchaço, protuberância na gengiva, sinais de infecção ou danos aos dentes adjacentes, é necessário procurar um dentista o mais rápido possível.

Prevenção de dente impactado

A prevenção de dente abalado é crucial para evitar problemas dentários no futuro. Veja algumas medidas que você pode tomar:

  • Mantenha uma boa higiene oral: escove os dentes duas vezes ao dia e use fio dental diariamente, pois isso ajudará a prevenir a formação de cáries e a doença periodontal;
  • Visite regularmente o dentista: faça exames dentários regulares para detectar quaisquer problemas dentários precocemente;
  • Use aparelhos ortodônticos: o uso de aparelhos ortodônticos pode ajudar a prevenir o dente impactado, alinhando os dentes e a mandíbula corretamente;
  • Evite lesões na boca: evite atividades que possam causar lesões na boca, como esportes de contato. Se você pratica esportes de contato, use um protetor bucal para proteger seus dentes e gengivas;
  • Evite mastigar alimentos duros: mastigar alimentos duros, como gelo ou balas duras, pode causar danos aos dentes e aumentar o risco de impactar o dente.

Conclusão

Agora que você conhece mais sobre o dente impactado, é importante lembrar que esse problema pode afetar a saúde bucal e a qualidade de vida de uma pessoa. 

É fundamental que você consulte um dentista regularmente para evitar que o dente abalado cause danos irreversíveis aos seus dentes, gengivas e ossos da mandíbula.

Se você já está sofrendo com esse problema, não se preocupe. Existem vários tratamentos disponíveis que podem ajudar a aliviar a dor e restaurar a saúde bucal. 

Seu dentista pode recomendar a extração do dente ou a realização de um procedimento cirúrgico para remover o tecido gengival que está cobrindo o dente.

Lembre-se de que o tempo é essencial quando se trata de um dente afetado, e quanto mais cedo você procurar ajuda, maiores serão suas chances de evitar complicações graves. 

Portanto, não hesite em marcar uma consulta com seu dentista se você suspeitar que está sofrendo com esse tipo de problema, já que é possível prevenir complicações graves e restaurar a saúde bucal. 

Compartilhe este artigo
Dr. Irvington Duarte
Escrito por Dr. Irvington Duarte

Dr. Irvington Duarte, especialista em implantes dentários com 13+ anos de experiência em Ortodontia, Cirurgia Oral Menor e Estética Oral. Compromisso com inovação e qualidade em tratamentos dentários.

Agende sua Consulta na OdontoLinea

Cuide da sua saude bucal com profissionais especializados. Marque sua consulta hoje mesmo.

Agendar Agora